Providing care for Barksdale animals
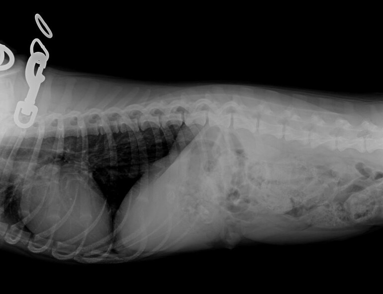
Dr. Darrin Olson, veterinarian, examines Grace, a 7 month old Bassador, for foreign objects lodged in her stomach, at the veterinary clinic, June 10, 2016. Animals with ingested foreign objects in their bodies generally do not feel well. They often stop eating and/or act depressed. (U.S. Air Force photo/Airman Alexis C. Frost)
PHOTO BY:
Airman Alexis C. Frost
VIRIN:
160615-F-F3302-001.JPG
FULL SIZE:
0.06 MB
CAMERA
N/A
LENS
N/A
APERTURE
N/A
No camera details available.
IMAGE IS PUBLIC DOMAIN
Read More
This photograph is considered public domain and has been cleared for release.
If you would like to republish please give the photographer appropriate credit.
Further, any commercial or non-commercial use of this photograph or any other
DoD image must be made in compliance with guidance found at
https://www.dimoc.mil/resources/limitations,
which pertains to intellectual property restrictions (e.g., copyright and
trademark, including the use of official emblems, insignia, names and slogans), warnings
regarding use of images of identifiable personnel, appearance of endorsement, and related matters.